一般診療、皮膚科、耳科、歯科、整形外科、軟部外科、循環器科、眼科、健康診断、予防医療、ホテル、トリミング

犬の咳|注意が必要な咳とは?

わんちゃんと一緒に暮らしている方なら、愛犬が「カッカッ」「カハッ」などと、咳をしているのを時折、見ることがあるのではないでしょうか?
「咳」は犬がよく示す症状のひとつですが、生理的なものから命に関わる病気まで原因は様々です。

今回は、犬の咳の種類、考えられる原因、家庭でできるケア、病院に行くべきタイミングなどを詳しくお話ししていきたいと思います

■ 咳とは?

咳は、空気の通り道である気道に入った異物を体の外に出そうとして起こる防御反応の1つです。

ホコリや煙、冷たい空気、細菌など気道へのさまざまな刺激で起こるほか、炎症に伴う分泌物(痰など)を外に出す際も咳が出ます。

ただ犬の咳は、くしゃみ・えづき・逆くしゃみと見分けが難しい場合もあります。

えづき:消化管の不調や食べ過ぎてしまっとときなど、吐くような仕草を見せます
逆くしゃみ:鼻咽頭に刺激があったときにブーブーを鼻をならすような音がします

症状の見分けが難しい場合は、動物病院を受診する前に、動画撮影などを行っておくと症状の鑑別に役立つこともあるでしょう。

■ 犬の咳の主な原因は?

①感染症

・犬の風邪(上部気道感染)

軽度のウイルス・細菌感染で起こる咳です。軽度な場合もあれば、発熱や鼻水を伴う場合もあります。
気管支炎が重度になると肺炎を引き起こし呼吸困難などの症状がでてくることもあるので注意が必要です。

 

・ケンネルコフ(伝染性気管気管支炎)

犬同士で感染する代表的な病気です。主に免疫力が低い子犬や高齢犬で乾いた咳が続きます。細菌感染を伴うと痰が絡んだような咳をすることもあります。

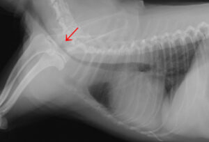
②気管の病気

代表的なものとして「気管虚脱」があります。

特に小型犬(チワワ、ポメラニアン、ヨークシャーテリア)に多く見られます。

空気の通り道である気管がつぶれてしまい、咳などのさまざまな症状がでてきます。
ガーガーというアヒルが鳴くような特徴的な咳が見られます。

興奮時に悪化するため注意が必要です。

 

気管が一部つぶれてしまっている

③心臓の病気

代表的なものとして、中高齢の小型犬に多い「僧帽弁閉鎖不全症」があります。
心臓病の咳は、痰を吐き出すような特徴的な咳をします。
運動後や興奮時に認められることがありますが、安静にしている際にも起こることもあります。

呼吸苦により、高濃度の酸素室が必要なことも

④アレルギーや環境刺激

埃や、タバコの煙、香水やスプレーなどが刺激となって咳の原因となることがあります。
一時的な症状の場合もありますし、アレルギーとして慢性的に咳が起こることもあります。

⑤寄生虫(フィラリアなど)

予防の普及によりまれな疾患になってきていますが、フィラリア症も咳の原因のひとつです。
フィラリア症が進行すると、肺や心臓に負担をかけ、咳だけでなく呼吸困難といった全身的な症状がでてきます。

⑥異物・誤飲

植物や小さなおもちゃ、食べ物などが喉や食道に詰まると急な咳を引き起こします。

吐き出したいのに吐けないような苦しそうな咳をしたり、よだれが増えたりなどします。

窒息のおそれがある緊急の状態です。

■ 受診が必要なサインは?

咳をしている以外に、以下の症状や状況があればすぐに動物病院を受診するようにしましょう。

・呼吸が荒い・苦しそう

・ぐったり元気がない

・食欲がない

・舌が紫色になっている(チアノーゼ)

・異物を飲み込んだ可能性がある

・心臓病を指摘されている

■ 家庭できるケア

軽症な咳の場合、ご自宅でケアをしてあげることによって咳が落ち着く場合があります。
気管への刺激を抑えてあげるような対策として以下のようなものがあります。

部屋の乾燥を避ける

・エアコンの風が直接あたらないようにする

・刺激物の除去

・安静にさせる

■ まとめ

犬の咳をひとつとっても様々な病気がありますね。
犬の咳は軽い風邪のこともあれば、気管虚脱・心不全・肺炎などの深刻な病気のサインの場合、緊急に受診が必要なものまでさまざまです。

・咳の音や状況の確認をする

・改善しない・悪化する場合は早めに動物病院を受診する

・刺激を避けて、生活環境を整える

これらを意識して病気の早期発見を目指していきましょう。

この投稿を共有する

Share on facebook
Share on twitter
Share on email